1.什么是慢性萎缩性胃炎?
慢性萎缩性胃炎主要以胃固有腺体减少或消失、伴有假性幽门腺化生、伴或不伴肠化生为特征。人体内的固有腺体主要与胃液的分泌相关。
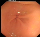
内镜下表现:黏膜红白相间,以白色为主,黏膜皱襞变平或消失,部分黏膜血管显露,可伴有黏膜颗粒或结节状等表现。如伴有肠化生于电子染色窄带成像放大内镜(NBI ME)下发现胃粘膜上皮细胞表面的脑回样结构嵴部的纤细浅蓝色线样结构。病理活检可进一步确诊。
正常胃表现


萎缩胃表现


2.慢性萎缩性胃炎的症状:上腹痛、腹胀、嗳气、贫血、消瘦等。
慢性萎缩性胃炎的病因:HP感染、胆汁反流、遗传、自身免疫、高盐、过热饮食、年龄。

4.慢性萎缩性胃炎的危害
胃粘膜萎缩患者胃癌年发生率为0.1%,胃粘膜萎缩合并肠化生患者胃癌年发生率为0.25%,萎缩和肠化均为胃癌发生的独立危险因素。因此也被称为癌前病变。
5.慢性萎缩性胃炎的诊断:
5.1胃镜检查--内镜下评估萎缩程度及范围
5.2病因检查--可以通过血清学检测、碳13、碳14呼气试验、粪便抗原检测、内镜下病理活检方式检测。通常选择碳13、碳14呼气试验较为简便。
5.3病理活检--金标准
6.慢性萎缩性胃炎癌前疾病的早诊早治
6.1. 抗幽门螺旋杆菌治疗
幽门螺旋杆菌感染的患者胃癌发病率是非感染者3-6倍,根除治疗有效减少胃癌发生风险。目前有四联及大剂量二联疗法,需到消化内科门诊制定规范抗菌方案。
6.2. 定期血清学筛查:
胃蛋白酶原(PG)包括PGI及PGII,PGI与PGII比值(PGR)随着胃粘膜萎缩程度的加重逐渐降低,故可以作为萎缩性胃炎的筛查指标。PGR<3.89为更好的早期胃癌识别能力。
6.3. 定期复查胃镜
一般建议复查胃镜的频率:



6.4. 生活、饮食指导:
食用含硒类食物:可清除萎缩性胃炎组织中使细胞老化的自由基,包括动物肝脏、肾脏、大蒜、芹菜、蘑菇等;
适量补充叶酸、维生素C,戒烟戒酒、避免辛辣刺激生冷油腻食物,少浓茶咖啡、少油炸腌制食物、隔夜食物、避免暴饮暴食、避免服用伤胃药物。

总 结
慢性萎缩性胃炎是胃癌常见的癌前疾病,但它并不可怕,某些患者看到慢性萎缩性胃炎诊断报告后,容易焦虑与担心,它虽然是癌前病变,但发展为癌的比率较小,而且不是一蹴而就的,我们可以在消化内科专科门诊就诊,明确原因,明确病情程度,通过正规治疗,可以防止病情进一步进展甚至可逆转、痊愈。
慢性萎缩性胃炎专病门诊
周一:雷雅莉主任医师 王宁副主任医师 郭剑副主任医师
周二:王宇晖主任医师 刘利平副主任医师 盛竹鸽主任医师
周三:雷雅莉主任医师 王宇晖主任医师 杨海云副主任医师
周四:盛竹鸽主任医师 王莹副主任医师 朱婷主治医师
周五:刘利平副主任医师 王宁副主任医师
周六:朱浪潮主任医师 梁爱玲副主任医师 王亚婷主治医师
地点:门诊二楼内科三区消化门诊
随访:1、随访电话:0913-2168848 0913-2168873
2、慢性萎缩性胃炎微信群随访。