近日,超声科成功实施两例经食管超声心动图联合右心声学造影检查,这是继首例经食管超声心动图检查成功后的又一次尝试。
检查前,超声科医师充分了解两位患者基本情况,综合评估患者条件。患者1,女性,31岁,因头痛数年,加重4天就诊,门诊行经颅多普勒发泡实验阳性,为排除心脏疾患,行经食管超声心动图检查。患者2,女性,42岁,因头痛头晕数年,经胸超声心动图提示房间隔瘤形成,为进一步明确诊断,行经食管超声心动图检查。

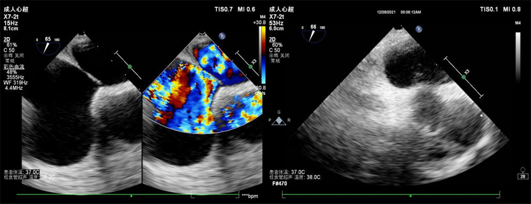
患者1

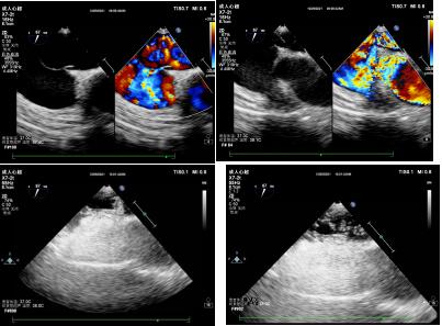
患者2
超声科医护配合,做好仪器、药品准备,完善相关检查,取得患者知情同意后,在门诊为两位患者完成此项检查。检查过程顺利,患者均无不良反应,明确诊断了心脏病变。


据了解,部分患者行经胸超声心动图检查时,因自身条件、检查方式等客观原因,导致较小的心脏疾病容易漏诊。然而,经食管超声心动图检查作为经胸超声心动图的补充检查,可以更加直观、清晰地观察心脏内部结构,在先天性心脏病、瓣膜性心脏病、心脏肿瘤、血栓等疾病诊断中具有重要意义。尤其是在持续性头痛、不明原因脑卒中、动脉栓塞等患者中,可能会存在卵圆孔未闭这一心脏疾病。经食管超声心动图联合由右心声学造影检查可清楚显示卵圆孔的结构、大小、形态,分别在患者静息状态及Valsava动作下,通过观察房间隔卵圆孔处血流信号、造影剂微气泡的分流情况,准确诊断卵圆孔未闭,从而指导临床医生及时治疗,有效预防患者潜在脑血管意外事件的发生。