你也被"天下第一痛"困扰着吗?渭南市首次自主成功完成的手术为你解痛最常见的神经性疼痛三叉神经痛,被称为"天下第一痛"!
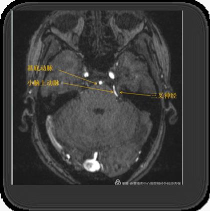
6月23日,市中心医院神经外科一病区段吉强主治医师在门诊接诊了一名中年女性,该患者左眼睑及眉弓上部持续疼痛数日(中间有短暂缓解期),异常痛苦。追问病史得知,患者已被病痛折磨了2年,口服药物“卡马西平片”逐渐对其失去控制,近几日口服止痛药物也收效甚微。门诊初步诊断“左侧三叉神经痛”。经过术前磁共振检查确定了左侧小脑上动脉压迫左侧三叉神经出脑干区。

神经外科一病区赵金安主任医师、魏栋辉副主任医师带领全科同志经过严格细致的术前讨论,最终确定手术方式为三叉神经微血管减压术。经充分术前准备,7月2日,段吉强主治医师在赵金安主任医师及魏栋辉副主任医师的指导下,吕智龙主治医师配合下,经4个多小时显微解剖式操作后,手术成功完成。术后患者苏醒,无面瘫、听力下降、眩晕等症状。术后未再出现面部疼痛发作。


随后几天里,神经外科一病区又完成了第二例手术,获得了满意的手术效果。同样原理的手术方式还可以治疗的疾病包括面肌痉挛(面部抽动症)、舌咽神经痛(舌后及咽部发作性疼痛)、神经源性高血压的颅神经疾病。
此项技术的本土化,标志着我院神经外科显微手术技术达到了新的高度,填补了渭南市的技术空白。从此患者不必长途奔走于省城大医院,不必再为挂不上专家号、预约不上床位而烦恼;同时节省住院费用,为广大病患在家门口提供最优质的医疗服务。
一直以来,科室人员在赵金安主任医师的带领下,坚持业务学习,特别是加强显微神经解剖的学习,坚持走“请进来、走出去”路线拓展新思维,尤其重视年轻医生的培养,所以该例手术的成功是大家共同努力、长期积淀的结果。
什么是三叉神经痛?
三叉神经痛为局限于在三叉神经分布区(额面部)的疼痛,为骤然闪电样发作,性质犹如刀割、烧灼、针扎或电击样,历时1-2分钟后骤然停止。疼痛发作时病人十分痛苦,可出现流泪、流涎、面部抽动等伴随症状。

疼痛发作前常无先兆,发作间期完全无痛。半数以上患者有疼痛触发点,常位于上唇、鼻唇、口角、门犬齿、眼眶上缘等处。面部机械刺激也可诱发。多为单侧,右侧多发,双侧少见。常被误认为牙痛。随病程延长,发作频率会增多,患者不敢哭笑,不敢进食,造成患者严重心理负担,害怕进食还会造成患者营养不良。
关于原发性三叉神经痛的发病机制,目前较为流行的假说是血管压迫三叉神经节,最终导致神经纤维脱髓鞘改变,提示解除三叉神经压迫可能治愈三叉神经痛。
常见治疗方法:
"卡马西平"为常用药物,可减轻症状(发病初期有效)。外科治疗方法包括显微血管减压术、经皮穿刺微球囊压迫法等。显微血管减压术是目前公认的最有效,并发症最小的手术方式,多数患者都能耐受。经皮穿刺微球囊压迫法适宜无法耐受较长时间的全麻以及无法进行开颅手术、体弱或者是具有严重系统疾患的三叉神经痛患者。
乐鱼在线登录入口神经外科一病区联系电话:0913—2168871.