近日,市中心医院普外科成功完成首例全胰腺切除术,填补了我市在该领域的空白,让全胰腺切除、脾脏切除术不再是难题。
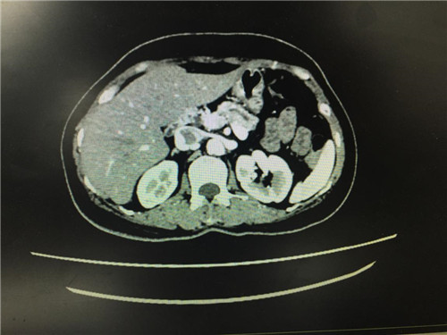
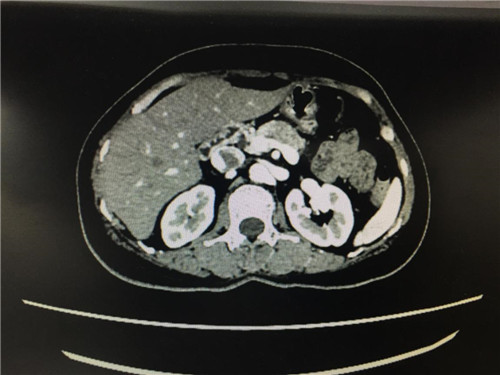
2月12日,普外科收治了一名女性患者,该患者入院一个月前,无明显诱因出现上腹部疼痛不适,呈间断性,向腰背部放射,有恶心,无呕吐,近一个月体重下降了5kg。门诊查上腹部CT提示:胰颈部新生物并胰管扩张;副脾。


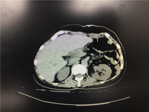
患者病情复杂,在潘承恩教授和全科医生的讨论下,结合检验及检查结果,术前胰腺颈体部肿瘤诊断明确,科室积极制定手术方案,详细向家属探明病情并取得合作。2月21日,由普外科史和平主任、梁鹏锋医师主刀,在王谦、李垚磊医师配合下,成功对该患者实施了剖腹探查、全胰腺切除、脾脏切除术。手术中发现,患者胰腺颈体部可触及一大小约4cm包块,胰头部质软,胰腺体尾部质硬,遂决定行胰腺颈体尾部切除及脾脏切除术。在胰腺近侧断端切取部分胰腺组织送术中快速冰冻,提示查见异型增生的胰腺腺泡样组织,联系病理科考虑癌细胞残留,术中向家属谈明病情并取得同意,遂行胰十二指肠切除术,手术顺利,术后生命体征平稳,并于术后第四日进行了复查CT结果良好。


术后,医护人员严密观察生命体征变化,并在内分泌科协助下,带胰岛素泵调整血糖并监测数值变化,在普外科医护人员的精心照料下,进行ERAS快速康复,患者恢复良好,疗效满意,3月7日已康复出院。