医疗动态

当前位置: 乐鱼(中国)-乐鱼医疗动态科室动态 → 正文

科室动态

当前位置: 乐鱼(中国)-乐鱼 > 医疗动态 > 科室动态 > 正文

超声科成功开展我市首例超声引导下周围型肺癌微波消融治疗手术

发布日期:2018-10-25    作者:超声科    来源:     点击:[]

近日,乐鱼在线登录入口超声诊断科与肿瘤外科二病区协作成功为一名74岁肺癌患者施行超声引导下经皮肺癌微波消融术,并进行了术前术后的超声造影评估,术后患者无明显不适,恢复良好。据了解,这是我市首例超声引导下周围型肺癌微波消融治疗手术。此次手术的成功开展,为不愿或不适合手术切除的肺肿瘤患者提供了一个新的治疗方法,标志着乐鱼在线登录入口超声诊断科技术水平迈向新台阶。

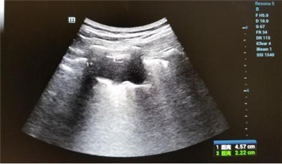
患者郑女士,在乐鱼在线登录入口被确诊肺癌,癌肿位于左肺下叶近胸膜处,大小约4.5x2.2cm,经化疗后肿块变化不明显。肿瘤外科二病区王雅辉副主任医师与超声科刘晓晖主任医师会诊后,认为可以为患者施行超声引导下肺癌微波消融术,因为属于首例,特邀西京医院王建宏教授进行术中指导,超声科华玺主治医师进行引导,麻醉手术科李万鹏副主任进行术中监测,降低手术风险,提高肿瘤综合治疗效果。整个治疗过程约30分钟,患者术中术后生命体征平稳。

超声造影作为目前最先进的超声成像技术,能够提供比普通超声及彩色多普勒超声更丰富、更明确的诊断信息。它在常规超声检查的基础上,通过静脉注射超声造影剂,来增强人体的血流信号,实时动态地观察正常脏器和肿块的血流灌注情况,提高超声诊断的特异性和敏感性。微波肿瘤消融术是的肿瘤微创治疗技术,它的原理使局部肿瘤组织凝固性坏死,最终形成液化灶或纤维化,起到原位灭活肿瘤组织的作用。具有疗效好、创伤小、痛苦小、恢复快、适应症广等优点。大多肺癌微波消融术是在CT引导下进行,但是对于紧贴胸壁的周围型肺癌,超声可以实时清晰显示。而超声造影在微波消融治疗前、中、后应用,可降低穿刺并发症的风险,确定治疗术中监测评价疗效。

超声造影评估微波消融治疗情况

对于直径≤3cm的肺部肿瘤,微波消融可以达到一次完全灭活肿瘤的效果,而对于较大的肿瘤,往往需要多针、多次治疗。微波消融联合手术、放疗、化疗可显著延长患者的生存期,有效降低肺癌的局部复发率,改善病人的功能状态。对于肺癌晚期患者,微波消融可以迅速减轻肿瘤负荷,同时治疗后的坏死组织吸收后可激发机体的抗肿瘤免疫,从而抑制残留肿瘤组织的生长,给患者长期生存带来益处。

据超声科刘主任介绍,超声引导下微波消融技术应用广泛,目前乐鱼在线登录入口超声科可以熟练开展肝肿瘤、肾肿瘤、肺肿瘤、腹腔肿瘤、甲状腺结节、浅表淋巴结等部位微波消融术,为患者带来先进、微创的治疗方法。