市中心医院成功实施4例卵圆孔未闭(PFO)介入封堵术
近日,市中心医院胸心外科(心脏大血管外科)继体外循环下升主动脉瘤成形术之后,8日内再次成功完成4例卵圆孔未闭(PFO)介入封堵术,为卵圆孔未闭患者解除后顾之忧。此项技术的开展,标志着胸心外科(心脏大血管外科)业务水平再上新台阶。

2月15日,一名56岁男性来医院就诊,患者双下肢无力3年,加重20天,出现间断头晕,当地医院诊断为脑梗死。连日来因频繁发作,严重影响生活。经查体并完善相关检查,神经内科、功能科、超声科等多学科联合会诊,系统筛查,证实引起患者头昏头痛肢体乏力的隐患:先天性心脏病-----卵圆孔未闭。

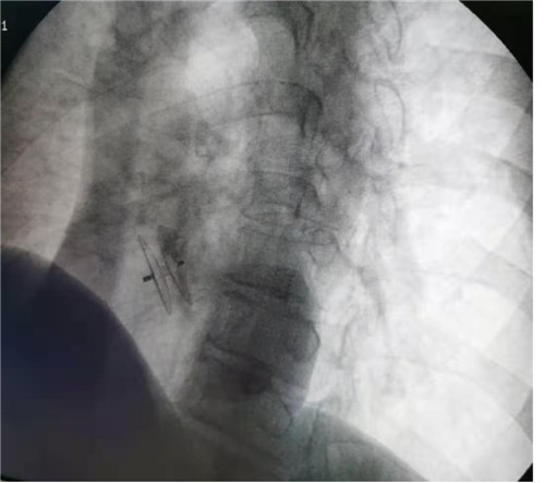
诊断明确,为快速解除患者症状,消除不适,经完善术前准备工作,2月26日,在姜永红主任带队下,胸心外科在DSA引导下经右股静脉途径将封堵器沿输送鞘置入并成功封堵卵圆孔,术中多角度显示封堵器形态良好。手术顺利,患者病情平稳,恢复良好,术后第2天痊愈出院。

卵圆孔是胚胎时期左右心房之间的生理性通道,正常情况下婴儿在出生后2个月左右融合,若超过1岁未能融合则形成卵圆孔未闭。卵圆孔未闭是目前成人常见的先天性心脏结构异常,据统计,每4个成人中即可检出1人患有此病。疾病的临床表现具有多样性,以不明原因卒中、偏头痛为主,也可出现短暂性脑缺血发作、不明原因的头晕和晕厥,甚至非动脉粥样硬化性心肌梗死。
此外,胸心外科(心脏大血管外科)相继实施其余3例卵圆孔未闭(PFO)介入封堵术。此项技术的开展,将在传统手术的基础上,逐步开展各种心脏病微创介入治疗,为渭南地区心血管疾病患者提供更多解决方案。